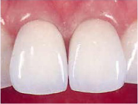
オールセラミック冠の症例 その3
オールセラミック ジルコニア症例
ジルコニアは「人工ダイヤモンド」とも言われます。そのジルコニアを材料にして、かぶせものにしたのが、ジルコニアのオールセラミックです。
施術名:セラミック治療
施術の説明:セラミック治療は色や形の悪い歯を治してできるだけ自然な歯に近づけます。
施術の副作用(リスク):痛み・咬合時痛・冷温水痛・抜歯する場合は腫脹や出血や神経麻痺などを生じる事があります。麻酔を行う場合、アナフィラキシーショックを生じるリスクがあります。セラミック・仮歯が欠けたり、外れる事があります。場合により歯の神経の治療をします。
治療期間・回数:約2ヶ月・8回
費用(保険外診療):セラミック1本あたり 79,200円~158,400円(税込)、ファイバーコア1本あたり13,200円(税込)
深い虫歯のかぶせもの(クラウン)前歯編
※左右にスクロールできます
| 素材 | 保険 | 保証 | 価格(1本) | 審美性 | 耐久性 | 人気度 | キーワード | 長所 | 短所 |
|---|---|---|---|---|---|---|---|---|---|
| ①オールセラミック (ジルコニア+ポーセレン)
|
自費 | 5年 | ¥144,000+税 | ★★★★ | ★★★★★ | ★★★ | 最高級 |
|
|
| ②オールセラミック (ジルコニア+ステイン)
|
自費 | 5年 | ¥96,000+税 | ★★★★ | ★★★★★★ | ★★★★ | 耐久性 (おすすめ) |
|
|
| ③オールセラミック (e-max+ポーセレン)
|
自費 | 5年 | ¥96,000+税 | ★★★★★ | ★★★★ | ★★★★ | より美しく |
|
|
| ④オールセラミック (e-max+ステイン)
|
自費 | 5年 | ¥72,000+税 | ★★★ | ★★★ | ★★★ | 自然に |
|
|
⑤CAD/CAM
|
保険 | ― | 保険 | ★ | ★★ | ★★ | 安く |
|
|
前歯1本をセラミック冠で治療した症例
| 術前 | 術後 | |
![]() |
![]() |
歯を白くしたいと希望されて来院されました。周りの歯の色に合わせてセラミック冠で治しました。
施術名:セラミック治療
施術の説明:セラミック治療は色や形の悪い歯を治してできるだけ自然な歯に近づけます。
施術の副作用(リスク):痛み・咬合時痛・冷温水痛・抜歯する場合は腫脹や出血や神経麻痺などを生じる事があります。麻酔を行う場合、アナフィラキシーショックを生じるリスクがあります。セラミック・仮歯が欠けたり、外れる事があります。場合により歯の神経の治療をします。
治療期間・回数:約2ヶ月・8回
費用(保険外診療):セラミック1本あたり 79,200円~158,400円(税込)、ファイバーコア1本あたり13,200円(税込)
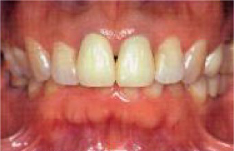
変色した前歯をセラミック冠で治療した症例
症例
| 術前 | 術後 | |
![]() |
![]() |
女性の患者様です。変色した前歯を気にされて来院されました。
色が変わらないことを希望されたので、セラミック冠で治しました。
施術名:セラミック治療
施術の説明:セラミック治療は色や形の悪い歯を治してできるだけ自然な歯に近づけます。
施術の副作用(リスク):痛み・咬合時痛・冷温水痛・抜歯する場合は腫脹や出血や神経麻痺などを生じる事があります。麻酔を行う場合、アナフィラキシーショックを生じるリスクがあります。セラミック・仮歯が欠けたり、外れる事があります。場合により歯の神経の治療をします。
治療期間・回数:約2ヶ月・8回
費用(保険外診療):セラミック1本あたり 79,200円~158,400円(税込)、ファイバーコア1本あたり13,200円(税込)
症例
| 術前 | 術後 | |
![]() |
![]() |
前歯を白くしたいと来院されました。
2本とも神経がなかったので、セラミック冠で被せることにしました。
施術名:セラミック治療
施術の説明:セラミック治療は色や形の悪い歯を治してできるだけ自然な歯に近づけます。
施術の副作用(リスク):痛み・咬合時痛・冷温水痛・抜歯する場合は腫脹や出血や神経麻痺などを生じる事があります。麻酔を行う場合、アナフィラキシーショックを生じるリスクがあります。セラミック・仮歯が欠けたり、外れる事があります。場合により歯の神経の治療をします。
治療期間・回数:約2ヶ月・8回
費用(保険外診療):セラミック1本あたり 79,200円~158,400円(税込)、ファイバーコア1本あたり13,200円(税込)
39歳 女性 オールセラミック(e-max+ポーセレン)の症例
左上の前歯が腫れて痛いと来院されました。診てみると、①にプラスチックの差し歯が装着されていました。②の部分が腫れており、膿が出ています。根管治療を行いました。
今回はオールセラミック(e-max+ポーセレン)を選択されました。
色合わせのための写真を、設定を変えて合計10枚くらい撮ります。その中から数枚を歯科技工士さんへ送ります。色を補正する装置を用いて、患者さん個別の色を作っていきます。
自然な感じで見た目に被せ物とわかりにくい仕上がりになりました。
施術名:セラミック治療
施術の説明:セラミック治療は色や形の悪い歯を治してできるだけ自然な歯に近づけます。
施術の副作用(リスク):痛み・咬合時痛・冷温水痛・抜歯する場合は腫脹や出血や神経麻痺などを生じる事があります。麻酔を行う場合、アナフィラキシーショックを生じるリスクがあります。セラミック・仮歯が欠けたり、外れる事があります。場合により歯の神経の治療をします。
治療期間・回数:約2ヶ月・8回
費用(保険外診療):セラミック1本あたり 79,200円~158,400円(税込)、ファイバーコア1本あたり13,200円(税込)
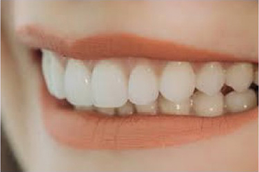
30歳 女性 オールセラミック(e-max+ポーセレン)の症例
前歯3本を差し歯とわからないように治してほしいと来院されました。診てみると下の図の矢印の3本の歯が一目で差し歯とわかる状態でした。
今回はオールセラミック(e-max+ポーセレン)を選択されました。
治療後の写真は次のとおりです。
施術名:セラミック治療
施術の説明:セラミック治療は色や形の悪い歯を治してできるだけ自然な歯に近づけます。
施術の副作用(リスク):痛み・咬合時痛・冷温水痛・抜歯する場合は腫脹や出血や神経麻痺などを生じる事があります。麻酔を行う場合、アナフィラキシーショックを生じるリスクがあります。セラミック・仮歯が欠けたり、外れる事があります。場合により歯の神経の治療をします。
治療期間・回数:約2ヶ月・8回
費用(保険外診療):セラミック1本あたり 79,200円~158,400円(税込)、ファイバーコア1本あたり13,200円(税込)
深い虫歯のかぶせもの(クラウン)前歯編
※左右にスクロールできます
| 素材 | 保険 | 保証 | 価格(1本) | 審美性 | 耐久性 | 人気度 | キーワード | 長所 | 短所 |
|---|---|---|---|---|---|---|---|---|---|
| ①オールセラミック (ジルコニア+ポーセレン)
|
自費 | 5年 | ¥144,000+税 | ★★★★ | ★★★★★ | ★★★ | 最高級 |
|
|
| ②オールセラミック (ジルコニア+ステイン)
|
自費 | 5年 | ¥96,000+税 | ★★★★ | ★★★★★★ | ★★★★ | 耐久性 (おすすめ) |
|
|
| ③オールセラミック (e-max+ポーセレン)
|
自費 | 5年 | ¥96,000+税 | ★★★★★ | ★★★★ | ★★★★ | より美しく |
|
|
| ④オールセラミック (e-max+ステイン)
|
自費 | 5年 | ¥72,000+税 | ★★★ | ★★★ | ★★★ | 自然に |
|
|
⑤CAD/CAM
|
保険 | ― | 保険 | ★ | ★★ | ★★ | 安く |
|
|









